心エコー
心エコー検査は心臓の働きを超音波にてリアルタイムに観察する方法で、体表面心エコー検査と経食道心エコー検査の2種類があります。
体表面心エコーは、検査を受ける方に苦痛を与えることがなく、合併症などの危険性を伴わない(被ばくの心配もありません)、非浸襲的な検査です。
当院生理検査室では、4機種がフル稼働し、心エコー室スタッフ3~4名が常時心エコー室にての体表面心エコー検査を行える体制となっており、他科からの心エコーのオーダーも対応可能とし、オープン化して検査を行っています。従来の壁厚や心腔の計測、壁運動の評価、拡張能の評価に加え、症例に合わせて弁膜症の定量的評価や負荷エコー検査、また右心系の評価やストレイン解析、コントラスト心エコーなども施行しています。循環器内科の病棟、救急外来、救急救命センターなどではドクターが自ら心エコーを行っており、治療方針の決定に重要な位置を占めております。


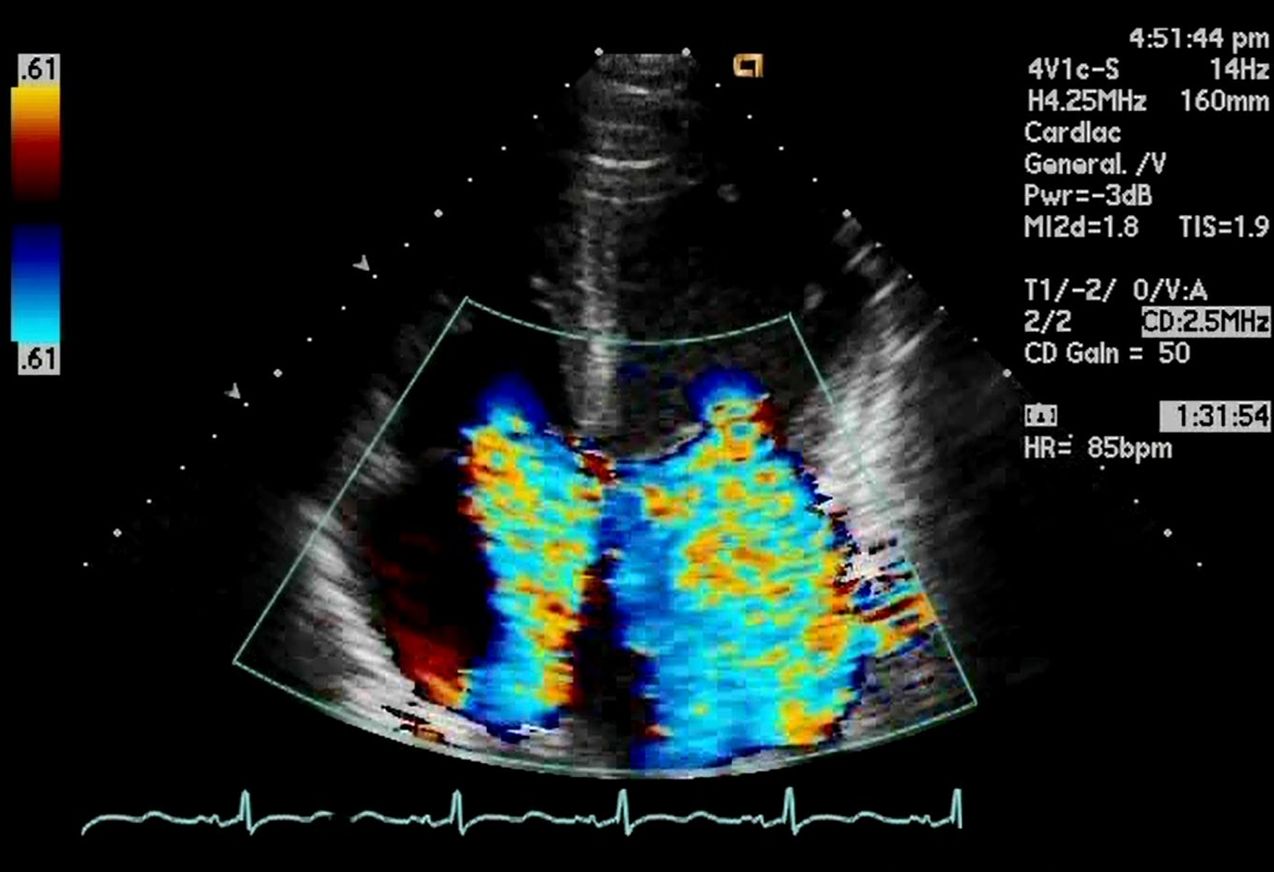
僧帽弁閉鎖不全症、三尖弁閉鎖不全症
感染性心内膜炎
心アミロイドーシス
慢性血栓塞栓性肺高血圧症
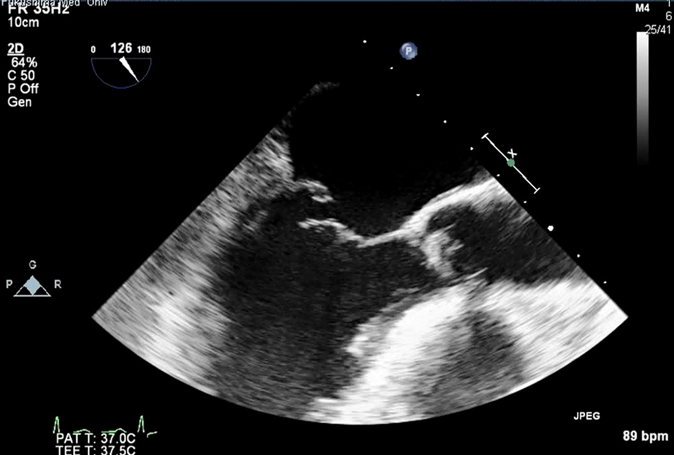
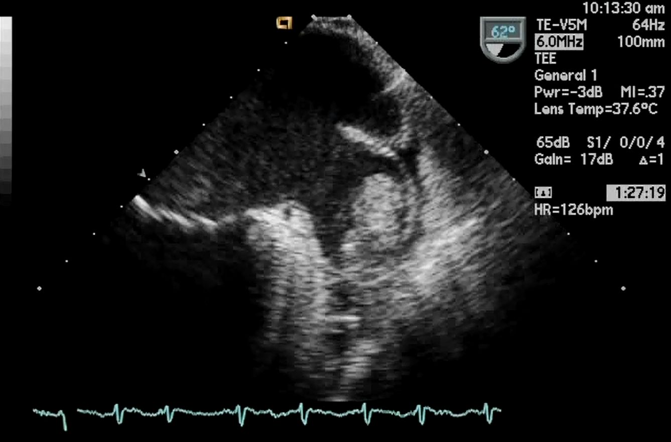
経食道心エコーは、超音波探触子を食道内に挿入して心臓を観察する検査で、体表面では評価困難な弁の性状や左房内の血栓などをより鮮明に評価が可能です。当科では、毎週2回(水、木)施行しております。当院エコー室で使用している、経食道エコーの探触子は3Dエコーの表示が可能で、より詳細に弁や欠損孔等の観察が可能です。

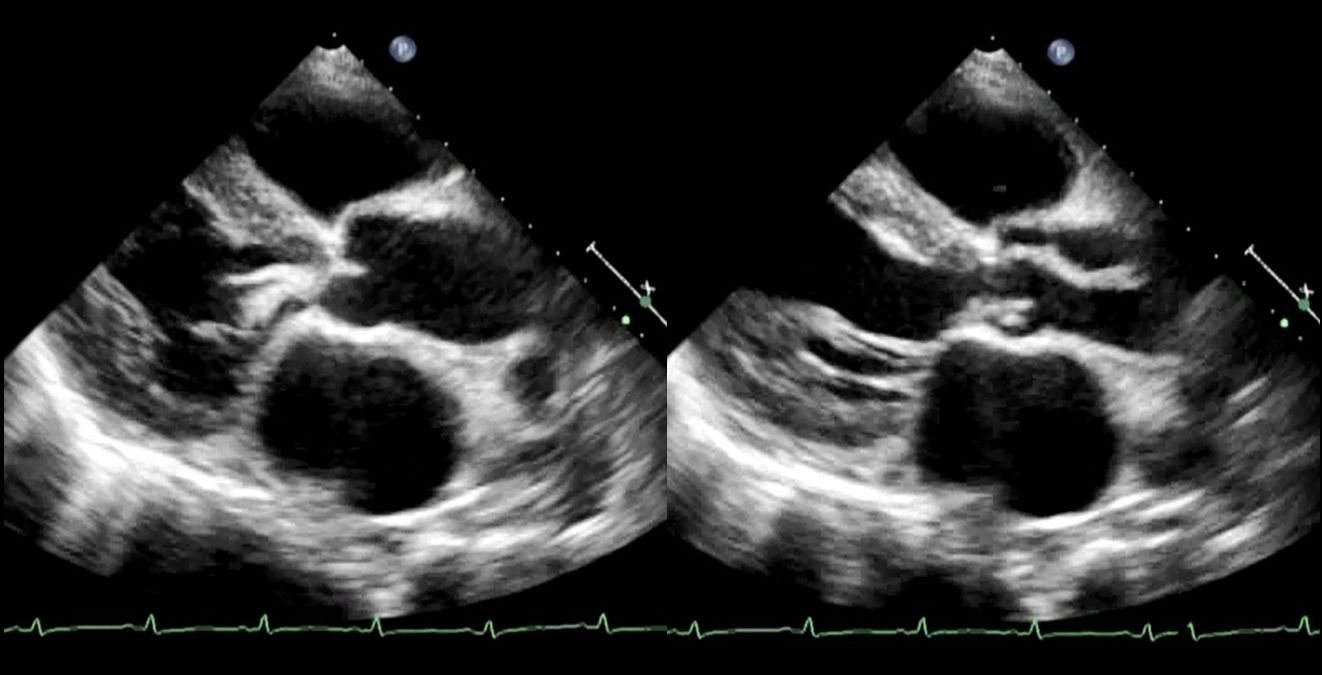
僧帽弁逸脱症候群
左心耳血栓
また、心臓血管外科の僧帽弁形成術などの評価なども経食道心エコーを用いて手術室にて行っております。ハイブリット手術室では、経皮的心房中隔欠損閉鎖術、経皮的卵円孔閉鎖術、経皮的大動脈置換術(TAVI)、経皮的僧帽弁接合不全修復術(M-TEER)、経皮的左心耳閉鎖術など心臓の構造的疾患に対してカテーテルによる治療が盛んにおこなわれており、治療のガイドを担うため経食道心エコーが行われています。
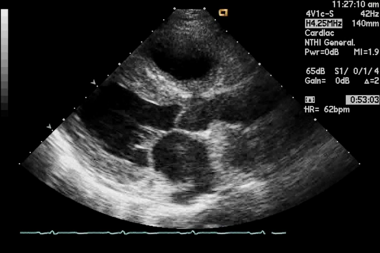
3D画像

僧帽弁逸脱症候群(僧帽弁後尖逸脱)
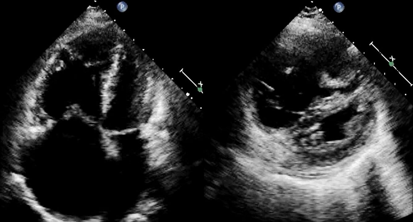
左心耳血栓
心房中隔欠損症
僧帽弁置換術後(機械弁)
文責:小林淳