GIST (ジスト:Gastrointestinal Stromal Tumor; 消化管間質腫瘍)
GIST (ジスト:Gastrointestinal Stromal Tumor; 消化管間質腫瘍)について
GISTとは、消化管の壁にできる悪性腫瘍の一種(肉腫)で、いわゆる胃がんや大腸がんとは異なりますが、がんと同様に放置すれば転移を来たし、生命に関わることのある病気です。GISTの発生頻度は、10万人に1~2人と少なく、希少がんの1つに位置付けられます。発生部位として胃の割合が70%と高く、次いで小腸20%、大腸および食道が5%となっています1)。自覚症状が少ない腫瘍ですが、腹痛や腫瘍からの出血による下血、貧血などの症状があらわれることがあります。病理組織学的にGISTの診断がついて、画像検査などで切除可能と判断した場合には、手術が第一選択の治療法となります。当院では治療前に外科、消化器内科、放射線治療科、腫瘍内科と合同のcancer board2)を開催し、病気の状態や患者様の状態を考慮・検討して最良の治療方針を決定しています。
GISTの手術について
当科では、腫瘍の大きさが5cm以下の場合には、従来より腹腔鏡を用いた外科手術を行っております。腹腔鏡手術は開腹手術と比べておなかの傷を小さくでき、術後の痛みが少なく回復が早いという利点があります(図1)。さらに最近ではGISTに対し、胃内視鏡と腹腔鏡を組み合わせたLECS(Laparoscopy Endoscopy Cooperative Surgery:腹腔鏡・内視鏡合同手術)を導入し、良好な結果を得ています(図2)。特に胃内発育型のGISTに対する従来の腹腔鏡のみを用いた手術では、正常な胃壁の余分な切除範囲が大きくなり、術後に胃の変形を来すことがありました。LECSでは、消化器内科医が胃内視鏡を用いてGIST周囲の胃壁を切ることにより、正常胃壁の切除を最小限にとどめることができます。また、胃の入り口近くにGISTが存在する場合には、従来法では噴門側胃切除(胃の上部を1/2程度切除する方法)が必要でしたが、LECSを用いることにより部分切除が可能となりました。腫瘍を切除した後は、腹腔鏡手術にて胃壁を縫合閉鎖します。この方法により、最小限の胃部分切除が可能となり、また術後の胃の変形を来しにくくなりました(図3~4)。
2012年からLECSを開始し、2022年までに50例以上のLECSを施行しています。術後入院期間は約7日と早期退院が可能です。
腫瘍の大きさが5cm以上の場合には切除範囲と安全性について十分に検討する必要があり、できるかぎり腹腔鏡下の手術を行っていますが、開腹での切除が望ましいと判断される場合もあります。また、切除不能もしくは巨大な腫瘍の場合には、抗がん剤治療を行った後に外科的手術を行うこともあり、患者様個人個人に合わせた最良の治療方法を選択します。
図1 開腹手術 腹腔鏡手術のおなかの傷

図2 LECS 手術室の様子

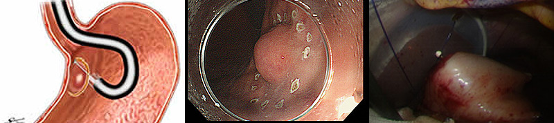
図3 LECSの流れ
- 1.内視鏡操作(消化内科医により胃カメラで胃の粘膜側(内側)から腫瘍周囲を切開します)

- 2.腹腔鏡操作(消化器外科医により腹腔鏡下に胃の漿膜側(外側)から腫瘍周囲を切開します)

- 3.胃壁の閉鎖(消化器外科医により腹腔鏡下に胃の切除部分を縫合閉鎖します)

図4 摘出標本 約2cmの大きさの胃GIST

- 1)日本癌治療学会・日本胃癌学会・GIST研究会編:GIST診療ガイドライン 2014年4月改訂(第3版);金原出版
- 2)cancer boardとは、手術、放射線療法及び化学療法に携わる専門的な知識及び技能を有する医師や、その他の専門医師及び医療スタッフ等が参集 し、がん患者の症状、状態及び治療方針等を意見交換・共有・検討・確認等 するためのカンファレンスのことをいう。