解剖・組織学講座

Department of Anatomy and Histology

NEWSお知らせ

  • 日本解剖学会 第71回東北・北海道連合支部学術集会で発表しました。 (9月20-21日)
  • 共同研究の成果がEMBO Reportsに掲載されました。
  • 共同研究の成果がJournal of Cell Scienceに掲載されました。
  • Journal of Cell Biologyに論文が掲載されました。
  • 日本顕微鏡学会第81回学術講演会で発表しました。 (6月9-11日)

NEWSの一覧へ

ABOUT解剖・組織学講座について

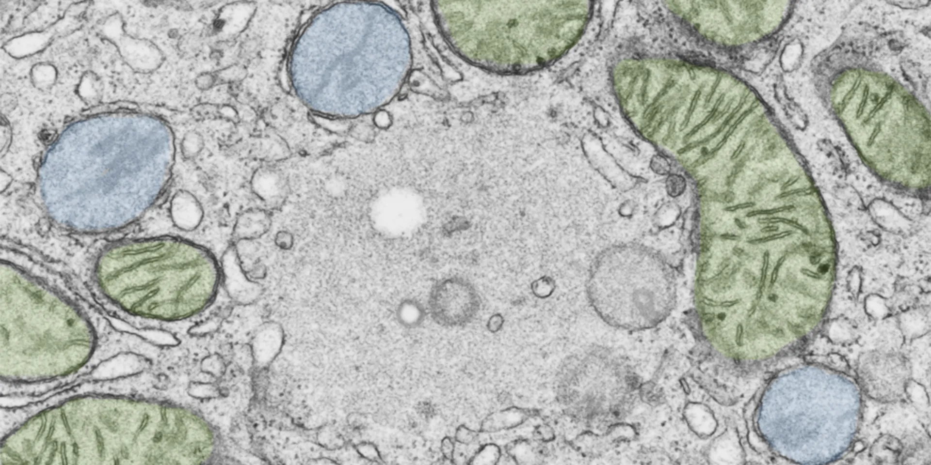
当研究室では、細胞の恒常性を担う「タンパク質分解」の研究を推進しており、光学顕微鏡や電子顕微鏡を用いた組織・細胞・オルガネラの観察を得意としています。

詳しく見る

福島県立医科大学の学内の様子。

CONTACTお問い合わせ

住所及び郵送物送付先
〒960-1295 福島市光が丘1番地 福島県立医科大学医学部 解剖・組織学講座
解剖・組織学講座は医学部3号館(旧:生命科学・社会医学系研究棟)1階になります。
TEL 024-547-1124

お問い合わせ

ページの先頭へ戻る